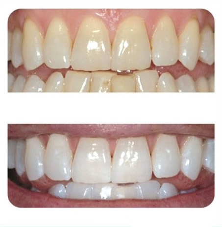
Teeth Whitening ( Bleaching )
Permanent teeth whitening process is a solution applied to lighten teeth several tons for the ones which have changed color and yellowed for various reasons. It is process of discolouration occurred on the structure of the tooth (enamel and dentin).
For a beautiful smile, healthy and white teeth are important. However, staining can be caused by structural changes occurring during the formation of the teeth, using some antibiotics while being a child or in mother's womb, foods and drinks, and the amount of fluoride in drinking water. Besides, aging, old dentures, fillings and coatings are also effective in the disappearance of whiteness of teeth.
Since all of organic and inorganic stuff in tea, coffee we drink, all drinks with colorant such as cherry juice, red wine, pomegranate juice and cigarette are accumulated in the porous enamel structure on the surface of the tooth, our teeth get darkenedwith over years.
Instead of making porcelain coating, etc. on darkened or yellowed teeth, permanent teeth whitening method is applied which is also referred as bleaching and at the end of this process, teeth are lightened up to eight to ten tones depending on the teeth condition.
HOW IS PERMANENT TEETH WHITENING DONE?
There are different methods to whiten teeth. The first one is whitening with the help of a professional dentist (Office bleaching), and the other one is home bleaching which is applied at home in accordance with the advice of your doctor.
PERMANENT CLINICAL WHITENING METHOD WITH HELP OF LASER
Clinical professional whitening with the help of a dentist is applied as follows:
Bleaching medication is placed on the tooth by a dentist who has experience of this process.
Laser light is maintained onto the respective tooth for a certain time.
Laser light does not whiten the tooth. It just starts the necessary chemical reactions by ensuring to activate the whitening gel (the laser does not penetrate into the tooth).
This process takes less than 1 hour and although it gives an instant result, multiple sessions may be needed for desired whiteness level.
The result is observed as soon as the process ends.
PERMANENT WHITENING METHOD AT HOME
The dentist takes measures of the patient's mouth and prepares thin rubber molds which will be fixed on teeth.
The patient wears the mold on the teeth to be bleached at least 6-8 hours a day by placing the medicine into the special molds which are prepared for himself (preferably while sleeping).
This treatment takes approximately 1-4 weeks.
Although both methods are effective, preference depends on coloration degree, how quickly the treatment is desired to be terminated and the opinion of the dentist.
Is Permanent Whitening Process Applicable To Everybody?
It can be applied to almost everyone. However, there are some cases where treatment is not effective. Your dentist will determine whether your teeth are appropriate for this process with a full mouth check-up and diagnosis. If your teeth are healthy enough, whitening is a good solution for a natural and white smile. Patients with advanced decay and advanced gum diseases in their mouth must complete the treatment first. Then, they can apply bleaching process. Apart from this, it is not recommended anyone who have not completed their growth and development. In addition, pregnant women and nursing mothers should also be applied carefully.
Is It Possible To Bleach Bridge Prostheses And Porcelain Coating With Permanent Whitening Process?
All permanent whitening methods are done on natural teeth structure. This means that porcelain veneers, crowns and bridges or fillings cannot be whitened. To match the color of your newly whitened teeth, they all may need to change.
Is Permanent Whitening A Safe Treatment Method?
If teeth whitening process is done under the supervision of your dentist, it is both effective and safe. Teeth and gums are not damaged at all.
Situations To Take Into Consideration In Permanent Teeth Whitening Process
- brand and content of medicine to use
- to be treated by an experienced dentist in this field
- the way and duration of medicine use
In general, dentists prefer the bleaching process in clinics.
How To Do Whitening Process In A Healthy Way At Home?
Protection of gums
Whitening gel can irritate gums. Therefore, it should not be overflowed to gums. In home bleaching process, if the gel overflows to gums after placing the mold into the mouth, overflown gel should be cleared with a piece of wet cotton. In office bleaching, your doctor will use a special foam to isolate the gums.
Adjusting Duration Of Use Correctly


